• SURGICAL/BROCHURE DOWNLOADS

    BROCHURE

    InFrame™ Intramedullary Micro Nail System

    DOWNLOAD
CONTACT US

InFrame™ Intramedullary Micro Nail System

Overview

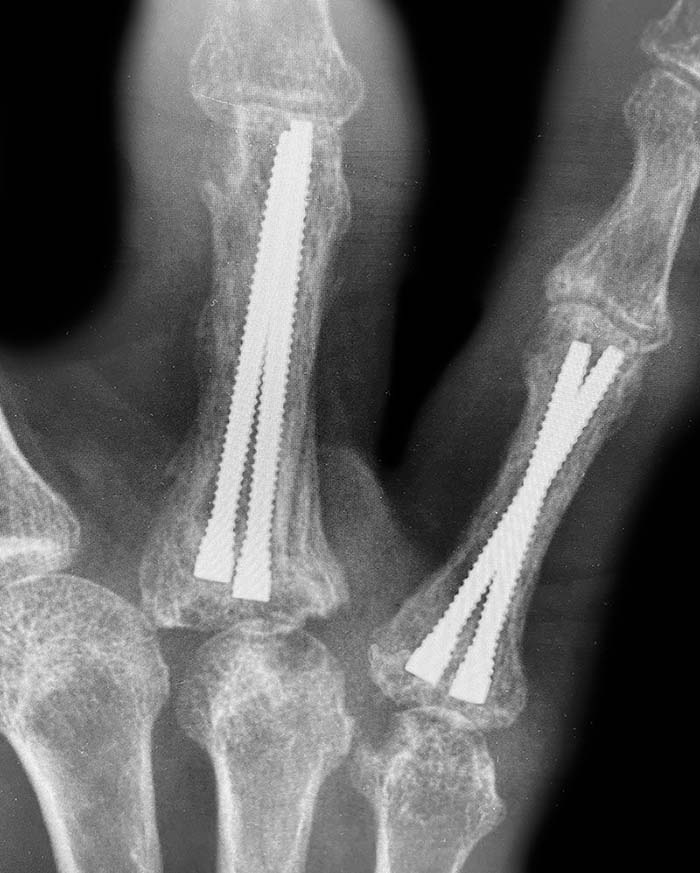
The InFrame Intramedullary Threaded Micro Nail system features a 2.0 mm diameter, stainless steel micro nail with a non-compressive design to achieve various implantation constructs for phalangeal fractures, providing superior rotational and bending stability and intramedullary fixation. The innovative delivery mechanism via the dual diameter guidewire eliminates the need for a dedicated reamer, simplifying a more precise implant placement.

Indications For Use

The InFrame cannulated micro nail is intended for fixation of intra-articular and extra-articular fractures and nonunions of small bones and small bone fragments; arthrodesis of small joints; bunionectomies and osteotomies, including scaphoid and other carpal bones, metacarpals, tarsals, metatarsals, patella, ulnar styloid, capitellum, radial head and radial styloid.

The system is provided sterile-packed. The implants are single-use, while a separate disposable instruments kit is available for use with all implant sizes.

A New Standard for Phalanx Fracture Fixation

InFrame is designed to treat phalangeal fractures through a simple, minimally invasive approach.

 

The small 2.0 mm diameter, wide array of lengths, and unique delivery mechanism allow various implantation constructs to custom fit the intramedullary canal, generating greater rotational and bending stability and precise reduction for all types of phalangeal fractures.

Features

Key Benefits

  • Bending & rotational stability. Greater stability compared to other traditional approaches for proximal phalanx fractures.(1)
  • No immobilization necessary. Immediate to early, active mobilization for accelerated healing and quicker return to work and/or daily activities.(1,2)
  • Multiple construct options. Small 2.0 mm diameter and wide array of lengths enable a more precise fit of the narrow intramedullary canal for enhanced stability of various phalangeal fracture patterns.
  • Surgical efficiency. Innovative, proprietary delivery mechanism combines a dual diameter guidewire and reamer in one device, simplifying the implantation surgical technique.(1)
  • Minimally invasive. Minimally invasive with no secondary procedure required.(3,)

References

  1. Data on file.
  2. del Piñal, F., et al. Minimally invasive fixation of fractures of the phalanges and metacarpals with intramedullary cannulated headless compression screws. J Hand Surg Am. 2015;40(4):692-700.
  3. Gaspar, M.P., et al. Dual Antegrade Intramedullary Headless Screw Fixation for Treatment of Unstable Proximal Phalanx Fractures. Hand (N Y). 2019 Jul;14(4):494-499.
  4. Giesen, et al. Intramedullary Headless Screw Fixation for Fractures of the Proximal and Middle Phalanges in the Digits of the Hand: A Review of 31 Consecutive Fractures. J Hand. 2016.

Inframe : > Micro Nail, Precision Fixation, phalangeal Fractures ,Acumed, IM Threaded Micro Nail ,Non-Compressive Design ,Enhanced Stability, Simplified Implantation, rotational stability ,bending stability, minimally invasive , IM Threaded Nail


    Info Contact

    HEAD OFFICE
    Tel +27 (11) 966 0600
    Email info@medhold.co.za
    Address MSI Business Park, 68 Rigger Road,
    Spartan, Kempton Park,
    Gauteng, 1619